
こんなお悩み
ありませんか?
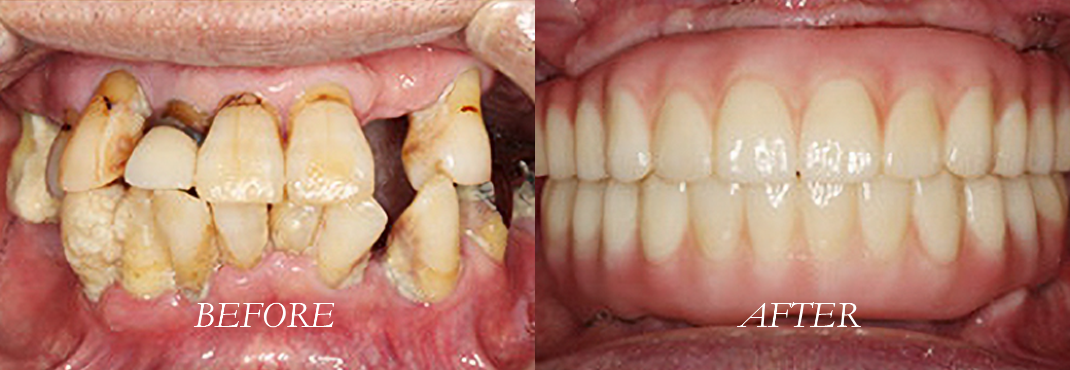
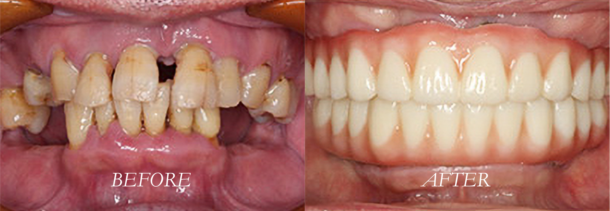
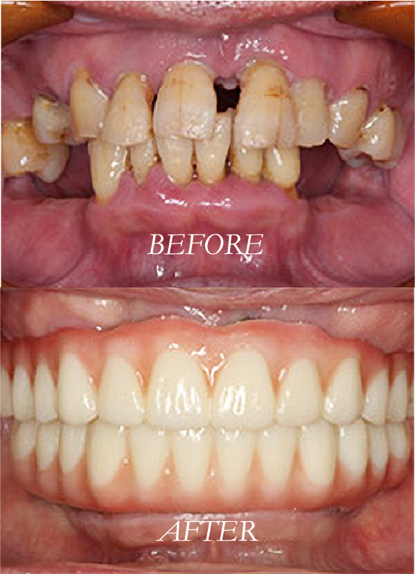
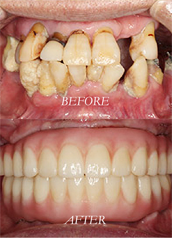
総入れ歯だけは避けたい
残った歯はわずかでボロボロ
骨が薄く他院でインプラントを
断られた
できるだけ早く
しっかり噛める歯が欲しい方に
やまむら総合歯科・矯正歯科の
オールオン4
という選択があります。
固定式の歯を手に入れ、入れ歯のストレスとは無縁の新しい毎日へ踏み出しましょう。
オールオン4・オールオン6は、義歯が合わない、または多数の歯を失った方におすすめのインプラント治療法です。
オールオン4は従来のインプラント治療と比べ、埋め込むインプラント数が少なくて済みます。
オールオン4は高度な技術と高品質なインプラント材を用いて、確実な固定を実現します。最先端な治療法でありながら、長年の臨床実績も豊富。
当医院では、インプラント症例数6000本以上の経験豊富な歯科医師が、患者様一人ひとりに合わせた最適な治療プランとご提案します。
オールオン4・6では、あごの骨の中でも最も密度が高い前方部・臼歯部に向けてインプラントを15~30°ほど傾斜させて埋入します。広い骨面にねじ込むことでインプラントが“ガッチリ食い込み”、埋入直後から動きにくい強固な初期固定を実現します。
手術当日に装着する即時仮歯(上部構造)は、4本のインプラントを一体化させる“補強バー”の役割を兼ねています。骨折時にギプスで添え木を固定するのと同じ理屈で、インプラントを横方向の揺れから守り、骨とインプラントの結合を妨げる微小な動きを防止します。
①高密度骨への斜め埋入 × ②仮歯による連結固定――この2段階の安定機構が生む強い支持力が、手術当日の咀嚼(そしゃく)を可能にします。
オールオン4は固定式の義歯を使用するため、入れ歯に比べてしっかりとした噛み心地を実感できます。また、患者様一人ひとりに合わせたデザインで作成されるため、自然な仕上がりが期待できます。
ケアする対象本数が少なく、毎日のセルフケアがぐっと簡単。磨き残しや炎症リスクを抑えられるため、清潔なまま長持ちしやすく、クリニックでのメンテナンスも短時間で済みます。多数本のケアする従来法と比べて、清掃性の高さが際立ちます。
オールオン4・6はインプラントが最小限の4本で済むため、費用や身体的な負担が軽減されます。また、骨量が少ない方でも治療可能です。※場合によっては4、6本でないパターンもございます。
骨造成も不要なケースが多いため、身体負担と感染リスクを抑え、通院回数も短縮できます。抜歯からインプラントの埋入、そして仮歯の装着までを1日で完了させます。従来の治療法に比べて時間的な負担が軽減されます。
切開は約4カ所ですみ、腫れや痛みが少ないうえ、固定式の仮歯をその日のうちに装着できるため、柔らかい食事だけ…という制限から解放されます。
しっかり固定されるので話すたびにずれず、入れ歯のようなモゴモゴ感や金属の見えを気にせず明瞭な発声が可能です。
骨の厚みが残っている4カ所を選んで埋入するため、従来法で骨造成が必要だった症例でも手術の選択肢が広がります。インプラントが骨に刺激を伝えるため、顎骨の吸収も抑えられます。
「歯がボロボロで、もう入れ歯しかないのか」
他院で治療を断られた方々の、その深刻な不安を解消することが私の使命です。
そのため、まずは患者様との対話を重ねてご納得いただくこと。そして、インプラント症例6000本以上の経験を活かした「オールオン4」などの高度な技術で、“噛める喜び”を取り戻します。「挑戦」の信条のもと、常に最善の治療を追求し続けます。
やまむら総合歯科・矯正歯科
理事長山村 昌弘
やまむら総合歯科・矯正歯科は、
難症例インプラントに精通した
インプラント治療の安全性と精度をさらに高めるため、 全国で講演活動を行い、多くの歯科医師を指導している相場隆広先生と顧問契約を結んでいます。相場先生は、難症例のインプラント治療、オールオン4などの高度治療に精通した専門家で、治療計画・CT分析のアドバイス、必要に応じた出張オペや手術のサポート、院内スタッフへの教育など、多面的に当院をご支援いただいています。顧問ドクターを迎えることで、複雑な症例にも安全に対応できる体制が整い、患者さまに「長く安心して使えるインプラント治療」を提供できるようになりました。
2 0 0 3 年歯科技工士免許取得、
歯科技工士歴2 3 年。
2 0 1 0 年よりA l l - o n - 4 、6 治療に携わり、
その頃に普及し始めたC A D / C A M 機器を駆使し、
自費診療の補綴物を製作してまいりました。
その経験を活かして山村院長のご指示、
相場先生のアドバイスをもとに補綴物製作をいたします。
きっとその補綴物は患者様がやまむら歯科の
A l l - o n - 4 、6 治療を受けた満足感に繋がると
思います。
やまむら総合歯科・矯正歯科
歯科技工部𠮷田 武尊
あなたに合ったフルマウスリハビリテーションを選ぶためにまず大切なのは「どの歯を残し、どこを置き換えるか」という治療方針を明確にすることです。インプラントでお口全体を再建すると決めたとき、主な道筋は二つあります。どちらも医学的に正しい選択肢ですが、ゴールやライフスタイル、メンテナンスへのお考えによって適切なプランは変わります。
保存可能な歯にはクラウンやブリッジを施し、抜歯が避けられない部分だけ骨造成を併用してインプラントを補綴。現存歯を温存できる一方、将来的にトラブルが起こるたびに追加治療が必要となり、通院や費用が段階的にかさむ可能性があります。「できるだけ自分の歯を残したい」「治療を少しずつ進めたい」という価値観に合致するプランです。
機能面と審美面を最優先し、たとえ保存可能な歯が残っていても戦略的に抜歯して4本または6本のインプラントで全顎を支える方法です。治療工程がシンプルなぶん手術回数と治療期間を短縮でき、完成形もメンテナンスしやすい構造に。将来の不確実性(再治療リスク)を最小限に抑え、「一度で終わらせて長く安心したい」「煩わしい部分的な治療を繰り返したくない」という方に適しています。
部分的なインプラントを繰り返すと、部位ごとに骨の痩せ方が違うため歯ぐきの高さが揃わず、長さ・形が不自然な人工歯になりがちで、見た目の満足度が低くなります。
歯並びと歯肉ラインを一体設計でき、左右対称で若々しい口元を実現しやすく、仕上がりも長期的に安定します。
臼歯インプラント15部位
¥6,000,000 (税込¥6,600,000)
骨造成治療3部位
¥650,000 (税込¥715,000)
クラウンブリッジ12部位
¥1,440,000 (税込¥1,584,000)
コア治療6部位
¥90,000 (税込¥99,000)
合計 ¥8,180,000 (税込¥8,998,000)
上顎オールオン4
¥2,500,000 (税込¥2,750,000)
上顎オールオン4
¥2,500,000 (税込¥2,750,000)
-
-
-
-
合計 ¥5,000,000 (税込¥5,500,000)

入れ歯の痛み・ズレ・違和感、味や温度がわかりにくいといった悩みを根本から解消したい方に適しています。インプラントで義歯を固定するため動かず、噛み心地と発音が天然歯に近づきます。
重度の歯周病や虫歯で抜歯が避けられない場合でも、オールオン4なら抜歯と同日に固定式の歯を装着できるため、「歯がない期間」を作らずに早期回復が可能です。
埋入本数が大幅に少ない(片顎4本)ため、手術回数と材料費が最小限に。結果として経済的負担を抑えながら全体をしっかり噛めるようにできます。
骨の厚みが残る部位を斜めに利用して埋入する設計なので、骨造成なしでも対応できるケースが多々あります。「骨が薄いから無理」と言われた方も一度ご相談ください。
強い初期固定と仮歯の連結により、手術当日から軽い食事が可能。ビジネスや日常生活を停滞させずに新しい歯でスタートできます。
最少4本の埋入で済むため切開範囲が小さく、骨造成手術が不要なケースがほとんど。術後の痛み・腫れ・合併症リスクを抑えたい方に向いています。

患者様の悩みや希望を詳細に伺い、院長が治療プランを提案します。CTやレントゲン撮影などを行い、必要な情報を収集します。

診断結果に基づき、最適な治療計画を説明し、仮歯の型取りや噛み合わせの確認を行います。

手術当日に、残っている歯を抜歯し、インプラントを埋入します。麻酔医が麻酔を施すため、痛みを抑えて治療を行います。手術後には仮歯を装着し、即日で新しい歯を手に入れることが可能です。

手術後、約1週間~10日後に抜糸を行い、最終的な人工歯を作成するための型取りを行います。

仮歯を外し、最終的な人工歯を装着し、治療が完了します。



〒448-0001
愛知県刈谷市井ケ谷町沼田21番地
診療時間:9:30 ~ 18:00
日曜休診(祝日は診療しています)
オールオン4・6によるインプラント治療
更に安心の10年保証
(定期メンテナンスを受けている方のみ適用)
骨造成手術・インプラント追加手術
処置料金
※GBRとは、インプラント治療時に骨の厚みや高さが足りない場合に行う、歯槽骨を再生させる骨造成の事です。
※メンブレンとは、骨造成時に線維芽細胞の侵入を防ぎ、骨芽細胞の増殖を促す人口膜を張る事です。
※サイナスリフトとは、小鼻脇にある上顎洞の底部に骨補填材を埋入して骨再生を行う方法の事です。
※オステオトームとは、ドリルではなく特殊な器具にて骨の穴を拡げていく手法の事です。
※ソケットリフトとは、口腔内から上顎洞底部を持ち上げて隙間を作り、骨移植や再生療法などで骨造成を行う方法の事です。
※価格は全て税込み表示です。
※より精度の高いインプラント治療の為に、上記X-GUIDE(3Dナビ)やステント(インプラント埋入時のガイドプレート)を使用し治療を行います。
※インプラントを埋め込むにあたり必要な骨が不足している場合、上記の足りない骨を補う処置が必要となります。状況に合わせたご案内をさせて頂きます。
デンタルローンをご利用いただくこともできます

※250万円(税抜)/120回払いの場合
オールオン4・オールオン6治療は、医療費控除の対象となる可能性があります。年間10万円以上の医療費がかかった場合に適用されるため、領収書の保管が重要です。

※より詳しい説明は税務署または国税庁のホームページでご確認ください。
尚、オールオンフォーやインプラント治療は高療養費制度の対象にはなりませんのでご注意ください。
あなたに合ったフルマウスリハビリテーションを選ぶためにまず大切なのは「どの歯を残し、どこを置き換えるか」という治療方針を明確にすることです。インプラントでお口全体を再建すると決めたとき、主な道筋は二つあります。どちらも医学的に正しい選択肢ですが、ゴールやライフスタイル、メンテナンスへのお考えによって適切なプランは変わります。
顎の骨が極端に薄い、または重度の全身疾患がある場合は即時荷重が行えないことがあります。骨の質が不足しているときはインプラント本数を増やして強度を補う、あるいは骨造成を先に行うなど、安全を最優先に治療計画を組み直します。
オールオン4は4本のインプラントで人工歯列を一体固定するため、たとえ健康な歯が残っていても抜歯が必要です。大切な歯を手放す不安は大きいものですが、長期的な安定と審美性を得るためのステップであることをご理解ください。
喫煙は血流を阻害し結合を妨げ、過度の飲酒は出血や炎症を招くリスクがあります。術前後の禁煙・節酒は欠かせません。
個人差はありますが、切開部の痛み・腫れ、顔面の内出血によるあざが1~2週間続くことがあります。処方薬でコントロールできる範囲がほとんどですが、長引く場合は早めの再診が安心です。
鎮痛薬や抗生剤の副作用で眠気や倦怠感が出る可能性があるため、当日は自動車の運転や重機・精密機器の操作を避ける必要があります。
